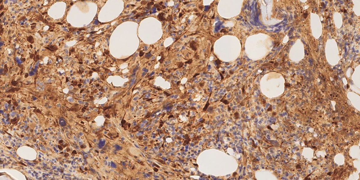
El estudio, llevado adelante por el investigador del CONICET Gabriel Rabinovich y científicos de la Universidad de Oxford, probó, tanto en modelos in vitro como in vivo, la efectividad de un anticuerpo desarrollado por investigadores del Consejo para revertir el avance de la mielofibrosis, una enfermedad onco-hematológica. [Imagen: Ejemplar de biopsia de médula ósea, que muestra una expresión densa de galectina-1 en mielofibrosis (tinción marrón). Crédito: Profesor Daniel Royston, Universidad de Oxford.]
Un estudio reciente del investigador del CONICET Gabriel Rabinovich y científicos de la Universidad de Oxford (Reino Unido) identificó que la proteína de unión azúcares Galectina-1 (Gal-1) juega un rol clave en la progresión de la mielofibrosis, un tipo de cáncer de sangre que afecta el correcto funcionamiento de la medula ósea, órgano responsable de producir las células sanguíneas. La investigación también mostró, tanto en modelos in vivo como in vitro, que un anticuerpo monoclonal anti-Gal-1 desarrollado en el Laboratorio de Glicomedicina del Instituto de Biología y Medicina Experimental (IBYME, CONICET-Fundación IBYME), dirigido por Rabinovich, logró frenar el avance de la neoplasia y revertir el cuadro patológico. El estudio fue publicado en la revista Science Translational Medicine del grupo Science.
La mielofibrosis es una neoplasia mieloproliferativa que se caracteriza por la fibrosis e inflamación de la medula ósea, que al cubrirse de fibras de reticulares y componentes de la matriz extracelular (colágeno y otras proteínas) ve alterada su capacidad normal de producir células sanguíneas, como glóbulos rojos, blancos y plaquetas. Este fibrosamiento de la médula ósea, producto de distintas mutaciones genéticas, puede devenir tanto en la deficiencia como en el exceso de células sanguíneas, debido a que otros órganos (como el bazo y el hígado) reemplazan a la médula ósea en la producción sangre, en lo que se conoce como hematopoyesis extra medular. En algunos casos, la progresión de la enfermedad puede avanzar de tal manera que la destrucción gradual de la medula ósea limite drásticamente la producción de células sanguíneas. Aunque los tratamientos actualmente disponibles pueden aliviar los síntomas y controlar el recuento de células sanguíneas, no existen aún tratamientos definitivos que eviten la progresión desde las formas más avanzadas de estas neoplasias y reduzcan fenómenos de fibrosis e inflamación.

Mientras los laboratorios de la Universidad de Oxford que participaron de este estudio se especializan en el estudio de la mielofibrosis, desde hace más de tres décadas, cuando Rabinovich descubrió la presencia de Gal-1 en el sistema inmune, el investigador del CONICET y su equipo se dedican a estudiar el papel de esta proteína en múltiples escenarios patológicos y fisiológicos; fundamentalmente, en diferentes enfermedades cancerígenas, autoinmunes e inflamatorias. En el marco de esta tarea, han desarrollado posibles tratamientos farmacológicos para bloquear Gal-1 o estimular su expresión, según sea necesario. Aunque muchos estudios ya habían mostrado que, en distintos tipos de cáncer, Gal-1 ayuda a las células tumorales a escapar a la respuesta inmune, así como a producir vasos sanguíneos (angiogénesis) que permiten alimentar a los tumores de oxígeno y nutrientes, hasta ahora no se sabía que esta proteína tuviera un papel clave en el desarrollo de las neoplasias mielofibróticas.
“A partir de estudios de muestras de grupos grandes e independientes de pacientes con mielofibrosis, los investigadores de la Universidad de Oxford vieron que Gal- 1 es una de las proteínas que permite vincular los cuatros tipos celulares involucrados en la progresión de este cáncer (células mesenquimáticas, megacariocitos, fibroblastos y basófilos/mastocitos), y es, además, indicadora de un peor pronóstico para la enfermedad. Esto también fue corroborado en ensayos in vitro (con células humanas), e in vivo. Fue ahí cuando nos contactaron a nosotros, por nuestra amplia experiencia en Gal-1”, explica Rabinovich.
A partir del ingreso de Rabinovich en la investigación, se corroboró, tanto en ensayos in vitro como in vivo (en un modelo murino de la enfermedad) realizados en el laboratorio británico, que el anticuerpo anti Gal-1 permite inhibir la expresión de Gal-1 en las células de la médula ósea y así desarmar el cuadro fibrótico.
“Esto no solo demuestra que Gal-1 es un posible blanco terapéutico para el tratamiento de la mielofibrosis, sino que también adiciona al anticuerpo monoclonal que desarrollamos en el IBYME -que ya habíamos mostrado que es inmuno-estimulatorio y anti-angiogénico- el rol de ser antifibrótico. Al revertir la fibrosis, el anticuerpo vuelve valores normales las plaquetas, los glóbulos rojos y blancos, cuya producción estaba alterada; también restaura el tamaño del bazo que está muy incrementado en esta patología por la hematopoyesis extramedular”, afirma Rabinovich.
Los investigadores compararon los resultados del tratamiento con el anti Gal-1, con los de un tipo de tratamiento standard para mielofibrosis que inhibe la proteína Jak2, donde ocurre una de las mutaciones genéticas que causan este tipo de neoplasias, y observaron que los resultados eran extremadamente prometedores. “Lo que agrega el anticuerpo monoclonal anti Gal-1 es la remodelación de la médula que ha sido alterada, para que empiece producir las células sanguíneas. En realidad, pensamos que nuestro anticuerpo podría eventualmente combinarse con los inhibidores que existen actualmente, o también usarse cuando un paciente se hace resistente a ellos”, señala Rabinovich, y agrega que una de las ventajas del anti Gal-1 sobre el fármaco inhibidor de Jak2 es que podría ser útil para tratar las diferentes mutaciones que generan este tipo de tumores.
Para Rabinovich, las conclusiones de este trabajo significan, también, la posibilidad de agregar la mielofibrosis a la lista de patologías para las que buscaran generar posibles tratamientos desde Galtec, la empresa de base tecnológica que fundó el año pasado junto a otros colegas, y que apunta a transformar descubrimientos científicos de tres décadas en nuevas estrategias terapéuticas para cáncer, enfermedades autoinmunes e inflamatorias.

En un comunicado publicado por la Universidad de Oxford, Adam Mead, investigador de esta universidad, especialista en neoplasias mieloproliferativas y uno de los líderes del trabajo, expresó: “Este estudio demuestra cómo el uso de técnicas de genómica unicelular de vanguardia puede descubrir posibles blancos terapéuticos, con el objetivo final de mejorar los resultados para los pacientes con cáncer de sangre”.
Por su parte, la otra líder del estudio por la Universidad de Oxford, Bethan Psaila, afirmó: “Este estudio es un ejemplo brillante del poder de la colaboración en la ciencia, tanto entre instituciones académicas como entre investigadores y médicos. No hubiéramos podido completar este trabajo sin el apoyo, los recursos y la experiencia de nuestros amigos y colegas internacionales, y la participación de pacientes que no solo donan sus muestras para la investigación, sino que también nos ayudan a establecer nuestras prioridades de investigación”.
Para el investigador del CONICET, resulta un honor haber colaborado y proyectar futuras colaboraciones con referentes mundiales en mielofibrosis, “y que científicos como ellos hayan validado herramientas desarrolladas en nuestro laboratorio, para mí es un orgullo y una emoción muy grandes, concluye.
Por parte del CONICET, también participo del estudio Juan Manuel Pérez Sáez, investigador del CONICET en el laboratorio que dirige Rabinovich, integrante de Galtec, y uno de los responsables del desarrollo del anticuerpo monoclonal anti Gal-1.
Referencia bibliográfica:
Li, R., Colombo, M., Wang, G., Rodriguez-Romera, A., Benlabiod, C., Jooss, N. J., … & Psaila, B. (2024). A proinflammatory stem cell niche drives myelofibrosis through a targetable galectin-1 axis. Science translational medicine, 16(768), eadj7552. DOI: 10.1126/scitranslmed.adj755
Por Miguel Faigón



